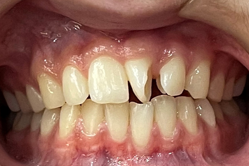
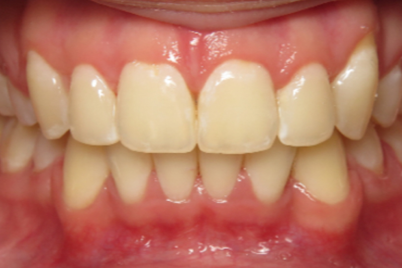
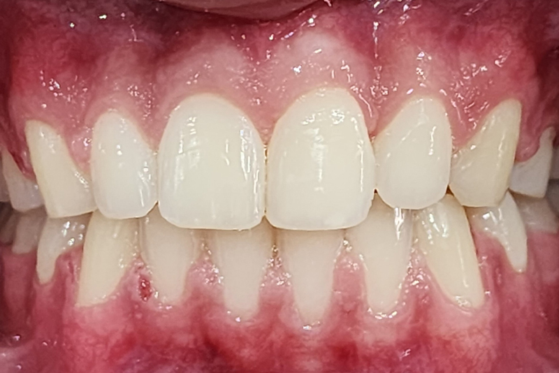
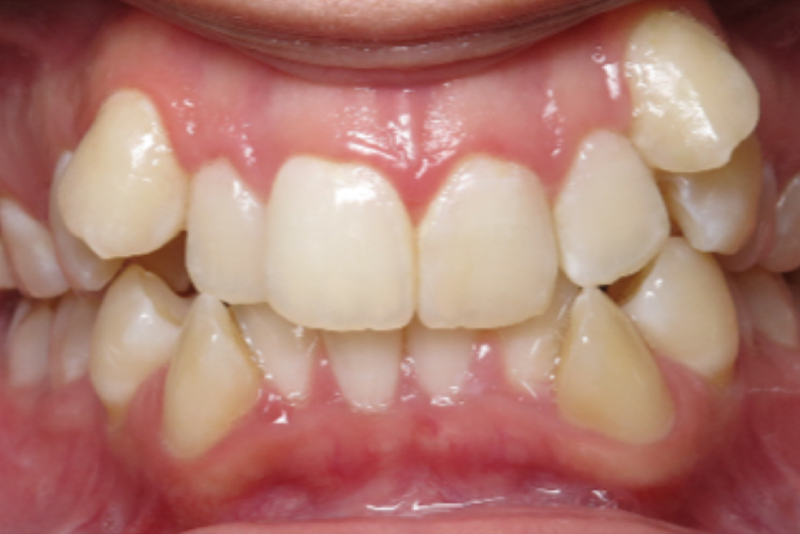
We have many years of dental experience for all your oral health needs.
Meet Rudy Wagner
A highly experienced and skilled orthodontist, Dr. Wagner is dedicated to caring for each patient as a family member. He is warm and friendly and thrives on the friendships that develop as he straightens teeth and transforms smiles—one person at a time!
Learn more Contact